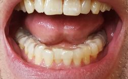
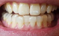
Die Schiene mit dem Thermoeffekt

Das neue thermoplastische und damit besonders innovative
PMMA-Pulver-Flüssigkeit-System für Aufbissschienen

Arbeitsablauf im Detail