

Der NEUE Standard für gefräste Schienen!
PRODUKTDETAILS
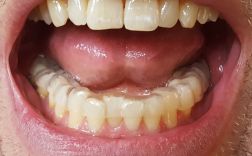
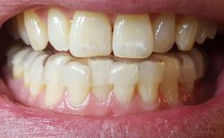
Anwendungsbilder
Der NEUE Standard für gefräste Schienen!
PREMIOtemp CLEAR FLEX ist die neue, thermoplastische und damit besonders innovative Fräsronde für CAD/CAM gefertigte Aufbissschienen im primotec DIGITAL Produktprogramm.
Bei dem Material handelt es sich um einen transparenten PMMA Kunststoff mit Thermo-Effekt. Dieser Effekt bewirkt, dass sich die gefräste Schiene bei Erwärmung automatisch der Zahnsituation des Patienten anpasst, ohne aber dabei ihre Oberflächenhärte zu verlieren.
Erreicht wird dieser Thermo-Effekt, indem die gefräste PREMIOtemp CLEAR FLEX Schiene vor der Eingliederung in 40°C bis 50°C warmem Wasser vortemperiert wird. So fein-justiert sie sich beim Einsetzen im Mund des Patienten quasi von selbst.
Das Ergebnis ist eine gefräste Aufbissschiene, die sich optimal und vollkommen spannungsfrei der Zahnreihe anpasst, die okklusalen Kontaktpunkte und Führungsflächen durch Ihre Oberflächenhärte aber trotzdem erhält.
NICHTS DRÜCKT, NICHTS SPANNT
Die gefräste PREMIOtemp CLEAR FLEX Schiene ist einfach nur besonders angenehm zu tragen.
Besonders angenehm für den Patienten ist darüber hinaus die hohe Transparenz des Materials, die dazu führt, dass die Schiene im Mund nahezu unsichtbar wird.
Besonders angenehm für den Behandler und das Labor ist die Tatsache, dass PREMIOtemp CLEAR FLEX durch den beschriebenen Thermo-Effekt moderate Ungenauigkeiten bei der Abdrucknahme kompensieren kann. Damit ist das Material gerade auch für intraoral Scans über den gesamten Zahnbogen (zwei Quadranten) bestens geeignet.
Besonders angenehm für alle Beteiligten ist die stark erhöhte Bruchsicherheit der gefrästen Schienen durch die thermische Flexibilität und den Memory-Effekt des PREMIOtemp CLEAR FLEX Materials. Dadurch gehören gebrochene Schienen und deren oftmals kostenlose Neuanfertigung weitgehend der Vergangenheit an. So wird die Wirtschaftlichkeit und Präzision gefräster Aufbissschienen erheblich gesteigert.
FAZIT: begeisterte Patienten – zufriedene Behandler – entspannte Techniker – mit gefrästen PREMIOtemp CLEAR FLEX Schienen von primotec
Anwendungsgebiete
- PREMIOtemp CLEAR FLEX ist die neue, thermoplastische und damit besonders innovative Fräsronde für CAD/CAM gefertigte Aufbissschienen.

Vorteile
- Spannungsfreier Tragekomfort und präzise Passung durch Thermo-Effekt
- Sehr langlebig – maximale Bruchsicherheit durch Memory-Effekt – bruchstabiler als die meisten herkömmlichen PMMA-Kunststoffe
- Hohe Transparenz für nahezu unsichtbares Tragen
- Sehr geringe Plaque-Affinität
- Kann für manuelle Korrekturen problemlos mit konventionellen Pulver-Flüssigkeits-Systemen kombiniert werden
- Lässt sich sehr gut maschinell bearbeiten, am besten mit einschneidigen Fräswerkzeugen
- Vereinfacht durch die genannten Materialeigenschaften ganz wesentlich die Handhabung für Zahnarzt, Zahntechniker und Patient

Arbeitsablauf im Detail
Anwendungstipp
Pflegehinweise für den Patienten:
- Reinigen Sie Ihre Schiene nach jedem Tragen unter fließendem Wasser mit einer Zahnbürste
- Lagern Sie Ihre Schiene bei Nichttragen trocken und dunkel, NICHT im Wasserglas
- Verwenden Sie keine Prothesenreiniger oder Alkohol
- Legen Sie die Schiene zum komfortablen Einsetzen zunächst für 30 Sekunden in 40°-50°C warmes Wasser
- Schützen Sie die Schiene vor zu großer Hitze und Kälte
Technik Tipps
- Um übermäßige Reibungshitze während des Fräsvorgangs zu vermeiden, ist es bei thermoplastischen Materialien wie PREMIOtemp CLEAR FLEX sinnvoll, die Umdrehungsgeschwindigkeit der Spindel beim Fräsvorgang entsprechend zu reduzieren.
- Lässt sich sehr gut maschinell bearbeiten, am besten mit einschneidigen Fräswerkzeugen.
Veröffentlichungen
Bestellinformationen

Downloads
Anleitungsvideo
Produktdetails
Der NEUE Standard für gefräste Schienen!
PREMIOtemp CLEAR FLEX ist die neue, thermoplastische und damit besonders innovative Fräsronde für CAD/CAM gefertigte Aufbissschienen im primotec DIGITAL Produktprogramm.
Bei dem Material handelt es sich um einen transparenten PMMA Kunststoff mit Thermo-Effekt. Dieser Effekt bewirkt, dass sich die gefräste Schiene bei Erwärmung automatisch der Zahnsituation des Patienten anpasst, ohne aber dabei ihre Oberflächenhärte zu verlieren.
Erreicht wird dieser Thermo-Effekt, indem die gefräste PREMIOtemp CLEAR FLEX Schiene vor der Eingliederung in 40°C bis 50°C warmem Wasser vortemperiert wird. So fein-justiert sie sich beim Einsetzen im Mund des Patienten quasi von selbst.
Das Ergebnis ist eine gefräste Aufbissschiene, die sich optimal und vollkommen spannungsfrei der Zahnreihe anpasst, die okklusalen Kontaktpunkte und Führungsflächen durch Ihre Oberflächenhärte aber trotzdem erhält.
NICHTS DRÜCKT, NICHTS SPANNT
Die gefräste PREMIOtemp CLEAR FLEX Schiene ist einfach nur besonders angenehm zu tragen.
Besonders angenehm für den Patienten ist darüber hinaus die hohe Transparenz des Materials, die dazu führt, dass die Schiene im Mund nahezu unsichtbar wird.
Besonders angenehm für den Behandler und das Labor ist die Tatsache, dass PREMIOtemp CLEAR FLEX durch den beschriebenen Thermo-Effekt moderate Ungenauigkeiten bei der Abdrucknahme kompensieren kann. Damit ist das Material gerade auch für intraoral Scans über den gesamten Zahnbogen (zwei Quadranten) bestens geeignet.
Besonders angenehm für alle Beteiligten ist die stark erhöhte Bruchsicherheit der gefrästen Schienen durch die thermische Flexibilität und den Memory-Effekt des PREMIOtemp CLEAR FLEX Materials. Dadurch gehören gebrochene Schienen und deren oftmals kostenlose Neuanfertigung weitgehend der Vergangenheit an. So wird die Wirtschaftlichkeit und Präzision gefräster Aufbissschienen erheblich gesteigert.
FAZIT: begeisterte Patienten – zufriedene Behandler – entspannte Techniker – mit gefrästen PREMIOtemp CLEAR FLEX Schienen von primotec
- PREMIOtemp CLEAR FLEX ist die neue, thermoplastische und damit besonders innovative Fräsronde für CAD/CAM gefertigte Aufbissschienen.

- Spannungsfreier Tragekomfort und präzise Passung durch Thermo-Effekt
- Sehr langlebig – maximale Bruchsicherheit durch Memory-Effekt – bruchstabiler als die meisten herkömmlichen PMMA-Kunststoffe
- Hohe Transparenz für nahezu unsichtbares Tragen
- Sehr geringe Plaque-Affinität
- Kann für manuelle Korrekturen problemlos mit konventionellen Pulver-Flüssigkeits-Systemen kombiniert werden
- Lässt sich sehr gut maschinell bearbeiten, am besten mit einschneidigen Fräswerkzeugen
- Vereinfacht durch die genannten Materialeigenschaften ganz wesentlich die Handhabung für Zahnarzt, Zahntechniker und Patient

Pflegehinweise für den Patienten:
- Reinigen Sie Ihre Schiene nach jedem Tragen unter fließendem Wasser mit einer Zahnbürste
- Lagern Sie Ihre Schiene bei Nichttragen trocken und dunkel, NICHT im Wasserglas
- Verwenden Sie keine Prothesenreiniger oder Alkohol
- Legen Sie die Schiene zum komfortablen Einsetzen zunächst für 30 Sekunden in 40°-50°C warmes Wasser
- Schützen Sie die Schiene vor zu großer Hitze und Kälte
- Um übermäßige Reibungshitze während des Fräsvorgangs zu vermeiden, ist es bei thermoplastischen Materialien wie PREMIOtemp CLEAR FLEX sinnvoll, die Umdrehungsgeschwindigkeit der Spindel beim Fräsvorgang entsprechend zu reduzieren.
- Lässt sich sehr gut maschinell bearbeiten, am besten mit einschneidigen Fräswerkzeugen.

